HPV Nedir? Belirtileri Nelerdir, Nasıl Tedavi Edilir? Kadınlarda HPV Virüsü Hakkında. Virusler, sadece başka yaşam formlarının içinde üreyebilen çok ...
Ameliyat Sonrası Rastlantısal Saptanan Serviks Kanserleri Hastalarında Yaklaşım Ameliyat Sonrası Rastlantısal Saptanan Serviks Kanserleri Hastalarında Yaklaşım Ameliyat ...
Evre IIB ve IVA Serviks (Rahim Ağzı) Kanserinde Tedavi Evre IIB ve IVA Serviks (Rahim Ağzı) Kanserinde Tedavi Evre IIB ve IVA Serviks (Rahim Ağzı) ...
Evre IA2 ve Evre IB / IIA1 Rahim Ağzı Kanseri Hastalarında Tedavi Evre IA2 ve Evre IB / IIA1 Rahim Ağzı Kanseri Hastalarında Tedavi Evre IA2 ve Evre IB / IIA1 ...
Rahim Ağzı Kanserinde (Serviks Kanseri) Tedavi Esasları ve Evre IA Rahim Ağzı Kanserinde Tedavi Rahim Ağzı Kanserinde (Serviks Kanseri) Tedavi Esasları ve Evre IA Rahim Ağzı Kanserinde Tedavi ...
Rahim Ağzı Kanserinin İdeal Tedavisi İçin Bilinmesi Gereken Değişkenler Rahim Ağzı Kanserinin İdeal Tedavisi İçin Bilinmesi Gereken Değişkenler Rahim Ağzı Kanserinin ...
Rahim Ağzı Kanseri Tanı Yöntemleri Rahim Ağzı Kanseri Tanı Yöntemleri Rahim Ağzı Kanseri Tanı Yöntemleri Aşağıdaki durumlarda ...
Rahim Ağzı Kanserinin (Serviks Kanserinin) Yayılma Yolları Rahim Ağzı Kanserinin (Serviks Kanserinin) Yayılma Yolları önemlidir. Herhangi bir infeksiyon ...
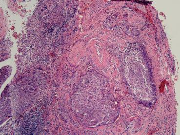
Rahim Ağzı Kanseri (Serviks Kanseri) nin Hücresel Tipleri Nelerdir? Aralarında Ne Fark Vardır? Rahim Ağzı Kanseri (Serviks Kanseri) nin Hücresel Tipleri Nelerdir? Aralarında Ne Fark Vardır? ...
Rahim Ağzı Kanseri Belirtileri Rahim Ağzı Kanseri Belirtileri Rahim Ağzı Kanseri Belirtileri Ahh işte siz hastaları sürekli ...